6080影院
  • 首页
  • 电影
    • 动作片
    • 爱情片
    • 科幻片
    • 恐怖片
    • 战争片
    • 喜剧片
    • 纪录片
    • 剧情片
  • 电视剧
    • 国产剧
    • 香港剧
    • 欧美剧
    • 韩剧
    • 台湾剧
    • 日剧
    • 泰剧
  • 综艺
  • 动漫
  • 留言
播放记录
生活爆米花

生活爆米花 豆瓣评分:8.5

更新至32集全
  • 分类:国产剧
  • 导演:章显棉
  • 地区:内地
  • 年份:2020
  • 语言:普通话
  • 更新:2022-10-31 08:37
报错 收藏
  • 生活爆米花是由袁媛,李诗林,王驿主演的一部国产剧。文|福林妈咪 我们公司附近有一所大学,那里的小吃街很有名,我们吃饭偶尔会去那里。 但是近段时间,我.. 更多

生活爆米花剧情介绍

文|福林妈咪

我们公司附近有一所大学,那里的小吃街很有名,我们吃饭偶尔会去那里。

但是近段时间,我发现那边多了很多电子烟体验店,他们的门头上写的不是电子烟,而是电子化雾器。

其实我本人是很讨厌这种东西的,经常在公共场合见人吸,你要是去劝阻,他还会说这东西无害,怼得你哑口无言。

肺部变成爆米花,17岁少年呼吸困难,以为无害的电子烟不是没影响"

可就在前段时间,这个被那些电子烟民称为“无害”的东西却出事了, 被央视点名,要求全面管制,斩断源头。

然而我在某宝上搜索了一下,发现电子烟这个品类确实已经消失了,但是,如果按照我们这里那些体验店招牌的名字搜索电子化雾器还是能搜出来很多。换了个名字照样卖得很欢。

这种电子烟中内含人工合成大 麻素,有类似于吸食dama的感觉,早期刚兴起时,我们确实没有看到其危害。

但随着时间的推移,电子烟危害身体的案例快速上升,这些案例都在提醒着我们一定要警惕、要远离。

肺部变成爆米花,17岁少年呼吸困难,以为无害的电子烟不是没影响"

可是这些东西却出现在中小学、各大高校附近,商家窥探到这些年轻人想要模仿成年人吞云吐雾,但又深知吸烟的危害,所以就声称电子烟无危害,瞄准这些学生,让他们既觉得时尚又不损害健康。

电子烟也会上瘾!

殊不知,人工合成的dama素危害不比传统香烟小,而且当中的大麻素要比普通dama强4-5倍!吸食他们,轻则头晕呕吐,重则休克猝死,长期吸食更是会导致行动障碍等损害身体的问题。

但它却出现在学校附近的文具店中。

这是去年的一条新闻,当时也上了热搜,文具店中20-25元一根电子烟出售给小学生,有的班级里十几个同学都有买,个别孩子已经上瘾。

肺部变成爆米花,17岁少年呼吸困难,以为无害的电子烟不是没影响"

国外也有相关的新闻报道。

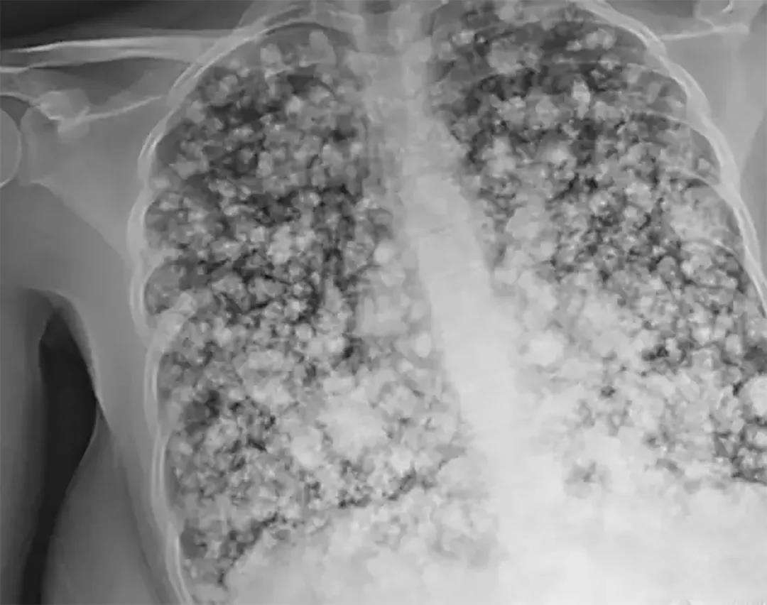
一名17岁少年因为一直咳嗽去医院看病,本以为就是风寒咳嗽,结果拍片后发现,他的肺部一片阴影,大大小小的一团一团的,像是爆米花。

医生都被眼前的片子震惊了,而少年也逐渐开始呼吸困难,医生立即采取措施,短短几小时,少年身上就插满了管子。

肺部变成爆米花,17岁少年呼吸困难,以为无害的电子烟不是没影响"

而医生诊断他的肺已经无法救治,虽然可以进行双肺移植,但即使找到配型,手术成功的话,也只能有5-6年的生命。

这名少年也坦言有吸食电子烟……

保护孩子健康这是全社会的责任

虽然我们国家开始治理电子烟,而且还在《未成年人保护法》中提出“学校周边50米至100米内不得有烟草制品销售点” ,可是电子烟却处于法律盲区。

于是商家就钻了这个空子。

肺部变成爆米花,17岁少年呼吸困难,以为无害的电子烟不是没影响"

如果有心,我们这些做家长的可以看看孩子学校附近的文具店。

这些商家都应该被严格管控。

不光这次电子烟的问题,一些商家出售三无产品更是“常规操作”!

现在的孩子,兜里多少都有点零花钱,他们会花钱,但是不会辨别产品好坏,更多的是盲目跟风。

多次被央视曝光的“史莱姆”,屡禁不止,还有许多三无小零食,都是在这些小店里兴起的!

保护孩子的健康不光是父母家长的责任,也是全社会的责任!

肺部变成爆米花,17岁少年呼吸困难,以为无害的电子烟不是没影响"

呼吁相关部门可以加强对校园周边商店的监管,为孩子们提供更加安全的环境。

家长要培养孩子正确的消费观

◆家长要以身作则

现在是消费主义时代,双十一买买买,我们大人有时候都控制不住自己,还如何给孩子传递正确的消费观?

在日常生活中,就要传递给孩子,去主动对比物品的价格、价值,计算性价比,这种简单的过程,孩子会学下来。

不要盲目攀比,当我们去对标别人家的孩子的时候,就是在攀比,这种攀比会潜移默化地影响孩子,孩子也会去攀比,也许我们的初衷是希望给孩子找个学习榜样,但这种攀比心会延续。变成物质上的攀比,慢慢地也就会产生“别人有的我也必须要有的心态”。

肺部变成爆米花,17岁少年呼吸困难,以为无害的电子烟不是没影响"


◆不要过度遏制孩子消费

有的家长总在孩子面前抱怨东西贵,这个贵,那个买不起,这会让孩子对金钱缺乏安全感,过度的节制势必会带来爆发,当孩子手里拿到钱时,就会盲目的花掉。

我们应该让孩子明白,钱要花在有意义、有必要的地方,我们要有节制的消费,这样才能让孩子真正明白金钱的价值。

当孩子养成正确的消费观时,才能理智对待校园周围的“诱惑”。

当然,孩子小,这个过程会有点难,家长还需要多多监督才是。


◆最主要的一点是尽量让孩子“不缺”

一个经常吃健康零食的孩子,不一定会看得上学校周边的零食。

所以,家长们可以日常给孩子准备一些相对健康安全的零食,让孩子装在书包里。自己有,自然不容易去羡慕。

  • 播放列表
  • 优酷视频
无需安装任何插件,即可快速播放 排序
  • 第1集
  • 第2集
  • 第3集
  • 第4集
  • 第5集
  • 第6集
  • 第7集
  • 第8集
  • 第9集
  • 第10集
  • 第11集
  • 第12集
  • 第13集
  • 第14集
  • 第15集
  • 第16集
  • 第17集
  • 第18集
  • 第19集
  • 第20集
  • 第21集
  • 第22集
  • 第23集
  • 第24集
  • 第25集
  • 第26集
  • 第27集
  • 第28集
  • 第29集
  • 第30集
  • 第31集
  • 第32集
  • 剧情介绍

    文|福林妈咪

    我们公司附近有一所大学,那里的小吃街很有名,我们吃饭偶尔会去那里。

    但是近段时间,我发现那边多了很多电子烟体验店,他们的门头上写的不是电子烟,而是电子化雾器。

    其实我本人是很讨厌这种东西的,经常在公共场合见人吸,你要是去劝阻,他还会说这东西无害,怼得你哑口无言。

    肺部变成爆米花,17岁少年呼吸困难,以为无害的电子烟不是没影响"

    可就在前段时间,这个被那些电子烟民称为“无害”的东西却出事了, 被央视点名,要求全面管制,斩断源头。

    然而我在某宝上搜索了一下,发现电子烟这个品类确实已经消失了,但是,如果按照我们这里那些体验店招牌的名字搜索电子化雾器还是能搜出来很多。换了个名字照样卖得很欢。

    这种电子烟中内含人工合成大 麻素,有类似于吸食dama的感觉,早期刚兴起时,我们确实没有看到其危害。

    但随着时间的推移,电子烟危害身体的案例快速上升,这些案例都在提醒着我们一定要警惕、要远离。

    肺部变成爆米花,17岁少年呼吸困难,以为无害的电子烟不是没影响"

    可是这些东西却出现在中小学、各大高校附近,商家窥探到这些年轻人想要模仿成年人吞云吐雾,但又深知吸烟的危害,所以就声称电子烟无危害,瞄准这些学生,让他们既觉得时尚又不损害健康。

    电子烟也会上瘾!

    殊不知,人工合成的dama素危害不比传统香烟小,而且当中的大麻素要比普通dama强4-5倍!吸食他们,轻则头晕呕吐,重则休克猝死,长期吸食更是会导致行动障碍等损害身体的问题。

    但它却出现在学校附近的文具店中。

    这是去年的一条新闻,当时也上了热搜,文具店中20-25元一根电子烟出售给小学生,有的班级里十几个同学都有买,个别孩子已经上瘾。

    肺部变成爆米花,17岁少年呼吸困难,以为无害的电子烟不是没影响"

    国外也有相关的新闻报道。

    一名17岁少年因为一直咳嗽去医院看病,本以为就是风寒咳嗽,结果拍片后发现,他的肺部一片阴影,大大小小的一团一团的,像是爆米花。

    医生都被眼前的片子震惊了,而少年也逐渐开始呼吸困难,医生立即采取措施,短短几小时,少年身上就插满了管子。

    肺部变成爆米花,17岁少年呼吸困难,以为无害的电子烟不是没影响"

    而医生诊断他的肺已经无法救治,虽然可以进行双肺移植,但即使找到配型,手术成功的话,也只能有5-6年的生命。

    这名少年也坦言有吸食电子烟……

    保护孩子健康这是全社会的责任

    虽然我们国家开始治理电子烟,而且还在《未成年人保护法》中提出“学校周边50米至100米内不得有烟草制品销售点” ,可是电子烟却处于法律盲区。

    于是商家就钻了这个空子。

    肺部变成爆米花,17岁少年呼吸困难,以为无害的电子烟不是没影响"

    如果有心,我们这些做家长的可以看看孩子学校附近的文具店。

    这些商家都应该被严格管控。

    不光这次电子烟的问题,一些商家出售三无产品更是“常规操作”!

    现在的孩子,兜里多少都有点零花钱,他们会花钱,但是不会辨别产品好坏,更多的是盲目跟风。

    多次被央视曝光的“史莱姆”,屡禁不止,还有许多三无小零食,都是在这些小店里兴起的!

    保护孩子的健康不光是父母家长的责任,也是全社会的责任!

    肺部变成爆米花,17岁少年呼吸困难,以为无害的电子烟不是没影响"

    呼吁相关部门可以加强对校园周边商店的监管,为孩子们提供更加安全的环境。

    家长要培养孩子正确的消费观

    ◆家长要以身作则

    现在是消费主义时代,双十一买买买,我们大人有时候都控制不住自己,还如何给孩子传递正确的消费观?

    在日常生活中,就要传递给孩子,去主动对比物品的价格、价值,计算性价比,这种简单的过程,孩子会学下来。

    不要盲目攀比,当我们去对标别人家的孩子的时候,就是在攀比,这种攀比会潜移默化地影响孩子,孩子也会去攀比,也许我们的初衷是希望给孩子找个学习榜样,但这种攀比心会延续。变成物质上的攀比,慢慢地也就会产生“别人有的我也必须要有的心态”。

    肺部变成爆米花,17岁少年呼吸困难,以为无害的电子烟不是没影响"


    ◆不要过度遏制孩子消费

    有的家长总在孩子面前抱怨东西贵,这个贵,那个买不起,这会让孩子对金钱缺乏安全感,过度的节制势必会带来爆发,当孩子手里拿到钱时,就会盲目的花掉。

    我们应该让孩子明白,钱要花在有意义、有必要的地方,我们要有节制的消费,这样才能让孩子真正明白金钱的价值。

    当孩子养成正确的消费观时,才能理智对待校园周围的“诱惑”。

    当然,孩子小,这个过程会有点难,家长还需要多多监督才是。


    ◆最主要的一点是尽量让孩子“不缺”

    一个经常吃健康零食的孩子,不一定会看得上学校周边的零食。

    所以,家长们可以日常给孩子准备一些相对健康安全的零食,让孩子装在书包里。自己有,自然不容易去羡慕。

    猜你喜欢
    紫禁秘录 4.2分 2019
    紫禁秘录
    吴昕洁,袁媛,赵琦,游千惠,赵子络,李天烨
    机甲兽神 7.9分 2010
    机甲兽神
    山新谷放冰张袁媛暂无
    村姑也疯狂 0分 2005
    村姑也疯狂
    唐嫣,于晓光,侣皓吉吉,李赞,傅博雯,袁媛,张博丽,王诗琪,杨小葳,柯艳,周期,潘小扬,彭景泉,徐斌,彭年贵,蔡文静,波夫,刘玉东
    生活爆米花 8.5分 2020
    生活爆米花
    袁媛,李诗林,王驿
    名捕震关东 6.6分 2002
    名捕震关东
    吴奇隆,任泉,范冰冰,左小青,张铁林,卢星宇,王九胜,董志华,陈继铭,韩东,戴春荣,陈莹,任袁媛
    明天会好的 0分 2021
    明天会好的
    袁媛,Papi酱,张超,许歌,吴玉芳,陆忠,白客,李苒苒,石老板,周奇墨,小鹿,张皓然,葛佳佳
    生活爆米花 8.5分 2020
    生活爆米花
    袁媛,李诗林,王驿
    影片评论
    评论加载中...
    国产剧热播排行
    1老舅 更新至第27集
    2长安二十四计 已完结
    3唐诡奇谭 已完结
    4罚罪2 已完结
    5白日焰火 HD国语
    6美国人 HD中字
    7双轨 更新至第29集完结
    8骄阳似我2025 已完结
    9逍遥 已完结
    10狙击蝴蝶 已完结
    11人之初 已完结
    12正当防卫 更新至第15集
    13年轻人 已完结
    14玉茗茶骨 更新至第22集
    15白鹿原 已完结

    Copyright © 2024-2025 All Rights Reserved

    • 首页
    • 会员
    • 留言
    • 顶部
    数码宝贝第一季(..   奇妙萌可第二季   豺狼的日子第一季   迪迦奥特曼(普通..   憧憬成为魔法少女   精灵宝可梦第一季..   数码宝贝第一季 ..   怪医文三块   模范出租车3   白日焰火   美国人   人鱼的旋律第一季  
    加载中...